
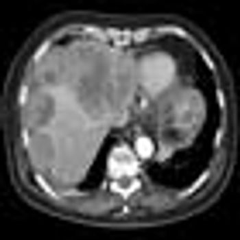
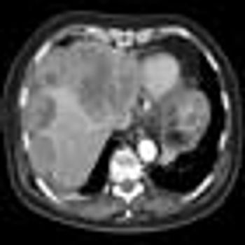
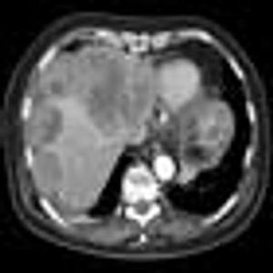
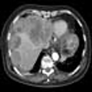
In this review article, the author discusses the use of tyrosine kinase inhibitors in the management of patients with gastrointestinal stromal tumors.

Your AI-Trained Oncology Knowledge Connection!


In this review article, the author discusses the use of tyrosine kinase inhibitors in the management of patients with gastrointestinal stromal tumors.

Published: March 15th 2011 | Updated: