
The European Commission has granted an approval to pembrolizumab for the treatment of patients with select microsatellite instability–high or deficient mismatch repair solid tumors.

Your AI-Trained Oncology Knowledge Connection!


Managing Editor, OncLive®
Caroline Seymour is your initial point of contact for the OncLive® podcast, OncLive On Air™. She joined the company in 2018 as an assistant editor, with expertise in video production and print/digital publication. Email: cseymour@onclive.com

The European Commission has granted an approval to pembrolizumab for the treatment of patients with select microsatellite instability–high or deficient mismatch repair solid tumors.

New data ranging from up-front approaches with targeted therapy to maintenance therapy, as well as emerging findings with novel agents continue to push the paradigm forward in acute myeloid leukemia and higher-risk myelodysplastic syndromes.

The FDA has granted a breakthrough therapy designation to trastuzumab deruxtecan for the treatment of adult patients with unresectable or metastatic HER2-low breast cancer who have received a prior systemic therapy in the metastatic setting or developed disease recurrence during or within 6 months of completing adjuvant chemotherapy.

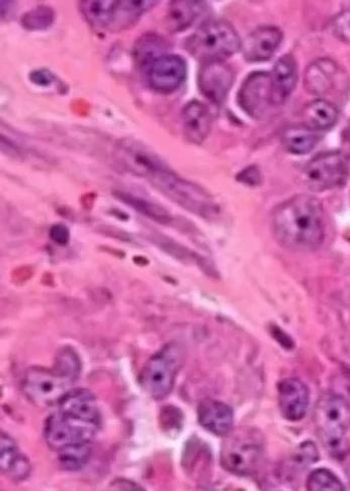
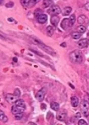
A differentially expressed gene profile was identified in patients with cutaneous nonsclerotic and superficially sclerotic chronic graft-vs-host-disease who responded to treatment with topical ruxolitinib.

The FDA has granted a fast track designation to the CAR T-cell therapy ADI-001 for the treatment of patients with relapsed/refractory B-cell non-Hodgkin lymphoma.

The FDA has accepted for priority review a supplemental biologics license application for trastuzumab deruxtecan for the treatment of adult patients with unresectable or metastatic non–small cell lung cancer whose tumors have a HER2 mutation and who have received a prior systemic therapy.

The combination of nivolumab and ipilimumab demonstrated a statistically significant improvement in progression-free survival vs ipilimumab alone as second-line therapy in previously treated patients with stage III unresectable or stage IV melanoma.

The combination of pepinemab and pembrolizumab elicited encouraging responses and tolerability as frontline therapy in patients with recurrent or metastatic head and neck cancer.

Ann S. LaCasce, MD, MMSc, discusses updates in lymphoma, myelofibrosis, and chronic lymphocytic leukemia.

Shaji K. Kumar, MD, discusses key takeaways from each presentation on chronic lymphocytic leukemia, myelofibrosis, relapsed/refractory diffuse large B-cell lymphoma, CAR T-cell therapy, and multiple myeloma.

Sara M. Tolaney, MD, MPH, reviews practice-changing data sets throughout breast cancer and provides perspective on potential treatment approaches in the absence of definitive results.

Suresh S. Ramalingam, MD, FACP, FASCO, discusses current applications for frontline immunotherapy and targeted therapy for non–small cell lung cancer and the current management of small cell lung cancer.

Harold J. Burstein, MD, PhD, discusses treatment updates across HER2-positive breast cancer, adjuvant advances in estrogen receptor–positive disease, and the domino effect of immunotherapy in triple-negative breast cancer.

Atezolizumab given as an immune primer or concurrently with extended field chemoradiation demonstrated favorable progression-free survival and few dose-limiting toxicities, with evidence of T-cell clonal expansion in the tumors and peripheral blood of patients with locally advanced, node-positive cervical cancer.

Pasi A. Jänne, MD, PhD, discovered a new way to treat lung cancer by following his intuition and staying flexible to pursue opportunities as they arise

Haris Ali, MD, discusses updates in acute and chronic graft-vs-host-disease, current and emerging agents in myelofibrosis and polycythemia vera, and chronic lymphocytic leukemia management.

The applications for germline and somatic genetic testing in prostate cancer have skyrocketed, carving out an important role in screening, diagnosis, and treatment.

The National Comprehensive Cancer Network Clinical Practice Guidelines in Oncology has been updated to include duvelisib as a category 2A designated option for second-line and subsequent treatment of patients with relapsed/refractory peripheral T-cell lymphoma.

Alexander Babatunde Olawaiye, MD, discusses frontline and second-line maintenance in ovarian cancer, the role of surgery in platinum-sensitive disease, and updates in cervical and endometrial cancers.

The historical boundaries of what was possible in the management of patients with breast cancer continue to be challenged, evidenced by the use of HER2-directed therapies in patients with brain metastases, de-escalated approaches in patients with visceral disease, and less-invasive surgical techniques for patients with lymph node involvement.

Tiffany Traina, MD, discusses the body of evidence supporting the use of CDK4/6 inhibitors in hormone receptor–positive, HER2-negative breast cancer, shifting standards of care in HER2-positive disease, as well as biomarkers of response with checkpoint inhibitors and PARP inhibitors in triple-negative breast cancer.

Kelvin P. Lee, MD, discusses the nuances of an effective molecular tumor board, explains the practical application of precision oncology genomics, and highlights the pathways that have the potential to change the treatment landscape for precision oncology.

Stephen Oh, MD, PhD, discusses current and emerging agents in myelofibrosis, advances in the treatment of patients with relapsed/refractory diffuse large B-cell lymphoma, updates in acute and chronic graft-vs-host-disease, and chronic lymphocytic leukemia management.

Sundar Jagannath, MBBS, discusses the significance of the FDA approval of ciltacabtagene autoleucel, important adverse effects to be aware of, and shared his thoughts on where the treatment fits into the current and future treatment paradigms.

The National Comprehensive Cancer Network Clinical Practice Guidelines in Oncology have been revised to include ropeginterferon alfa-2b as a recommended treatment option for adult patients with polycythemia vera.

From early phase 1/2 to pivotal phase 3 data, the 2021 San Antonio Breast Cancer Symposium was full of exciting research with selective estrogen receptor degraders, CDK4/6 inhibitors, and antibody-drug conjugates.

Although checkpoint inhibitors and bispecific antibodies have come to represent clinical oncology’s fourth leg of treatment—immunotherapy—there remains much to explore within lymphoma.

Version 1.2022 of the National Comprehensive Cancer Network guidelines now include ripretinib as a category 1 fourth-line treatment option for patients with advanced gastrointestinal stromal tumor and as an additional TKI for consideration prior to surgery.

The FDA approvals of immunotherapy-based combinations as frontline therapy led to a substantial increase in their use in patients with metastatic renal cell carcinoma in the community setting, leading to a greater use of TKI monotherapy as second- and third-line therapies.

The combinations of nivolumab plus ipilimumab and pembrolizumab plus axitinib demonstrated comparable activity and safety as frontline treatment in patients with metastatic renal cell carcinoma and a performance status of 2 or greater, according to findings from a retrospective study.