
Jeffrey Wolf, MD, discusses how induction therapies continue to improve the depth of response in patients with multiple myeloma and how it may be possible to eliminate the need for autologous stem cell transplant in this population.

Your AI-Trained Oncology Knowledge Connection!


Senior Editor, OncLive®
Hayley Virgil heads OncLive's feature article efforts and specializes in social issues and equality in oncology. Prior to joining the company in early 2020, she worked as an editor in numerous industries, including media, marketing, hospitality, and computer science, and freelanced in subjects such as history, culture, and the natural sciences.

Jeffrey Wolf, MD, discusses how induction therapies continue to improve the depth of response in patients with multiple myeloma and how it may be possible to eliminate the need for autologous stem cell transplant in this population.

Shuo Ma, MD, PhD, discusses the evolving role of BTK inhibitors in B-cell malignancies, ongoing research efforts examining their use, safety concerns to be aware of with the agents, and next steps for research.

Acalabrutinib continued to show prolonged progression-free survival with a favorable safety profile in patients with relapsed/refractory chronic lymphocytic leukemia, including those with high-risk features.

Kami J. Maddocks, MD, discusses the utility of BTK inhibitors in B-cell malignancies, challenges that are still faced in the space, and areas primed for additional development.

Omid Hamid, MD, discusses emerging biomarkers in melanoma, data supporting their efficacy and their potential for use in clinical practice, and future directions for research.

Premenopausal women with breast cancer who were previously treated with radiotherapy for a primary childhood, adolescent, or young adult cancer were found to have worse breast cancer–specific survival.

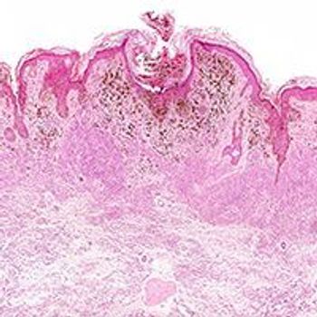
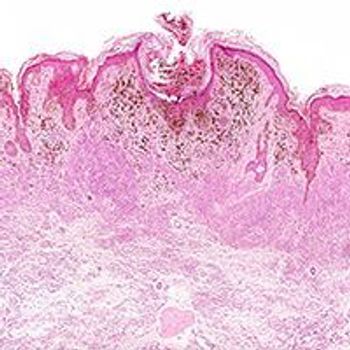
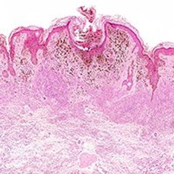
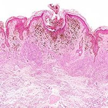
The Melanoma Institute Australia nomogram was found to accurately estimate the risk of sentinel node metastasis positivity in patients with melanoma and its use could help to reduce the rate of unnecessary invasive biopsies without sacrificing sensitivity.

Remdesivir has been associated with a lower mortality rate for patients with cancer and the novel coronavirus disease compared with other agents under examination for this population.

The RET inhibitor selpercatinib was shown to have durable efficacy with mostly low-grade adverse effects in patients with RET fusion–positive non–small-cell lung cancer.

Biomarkers predictive of risk in hematopoietic stem cell transplantation–associated thrombotic microangiopathy have undergone a recent evolution, with several new markers under exploration and many efforts focused on making current markers more precise and accurate to strengthen diagnostic criteria.

The CXCR4 antagonist BL-8040 in combination with the PD-1 inhibitor pembrolizumab has been shown to elicit encouraging responses in patients with pancreatic ductal adenocarcinoma.

The combination therapy of dabrafenib and trametinib recently demonstrated encouraging activity and a manageable safety profile in patients with BRAF V600E–mutated biliary tract cancer.

Mattia Garutti, MD, discusses the advantages of neoadjuvant therapy, predictive biomarkers under exploration, and future neoadjuvant clinical trial development.

Germline genetic testing is a key component of prostate cancer treatment, and broader testing criteria combined with reduced barriers to these tests could result in better informed care, including preventive surveillance, according to data from a recent study.

Investigators are evaluating the safety and efficacy of the investigational antibody-drug conjugate vic-trastuzumab duocarmazine in patients with HER2-expressing recurrent, advanced, or metastatic endometrial cancer in the phase 2 SYD985.003 trial.

Clinical cancer trials that fail to successfully enroll a racially and ethnically diverse patient population run the risk of leaving critical gaps in understanding regarding the effectiveness of new approaches.

The FDA has provided an update on breast implant-associated adverse effects, such as breast implant-associated anaplastic large cell lymphoma and breast implant illness.

A new, recently patented liquid biopsy device designed to detect small amounts of genetic and cellular material from tumors in the bloodstream of patients with early-stage, recurrent triple negative breast cancer, following neoadjuvant chemotherapy, has shown great accuracy and sensitivity.

Cell-free DNA–based androgen receptor locus alterations and enhancers correlated with metastatic prostate cancers determined to be resistant to AR-targeted therapies.

Ado-trastuzumab emtansine demonstrated a consistent invasive disease-free survival benefit versus trastuzumab in patients with HER2-positive breast cancer across all biomarker subgroups evaluated in the pivotal phase 3 KATHERINE trial.

Patients with myelodysplastic syndromes who have biallelic TP53 have worse outcomes, such as treatment-resistant disease, rapid disease progression, and low overall survival, versus those with monoallelic mutations.

The combination of ARID1A mutations and the immune signaling protein CXCL13 proved to be predictive of clinical response and prolonged survival after treatment with checkpoint inhibitors in patients with metastatic urothelial carcinoma.

Numerous analyses conducted over the past few years have underscored a serious issue in clinical cancer trials that needs to be addressed: a lack of racial and ethnic diversity among participants.

Ruben Mesa, MD, discusses racial and ethnic disparities in cancer clinical trials and efforts that are being made to address these issues.

Nivolumab plus ipilimumab significantly improved overall survival versus chemotherapy in the first-line treatment of patients with unresectable malignant pleural mesothelioma.

Telehealth is likely to stay in the oncology realm, even after the novel coronavirus 2019 pandemic passes.

Jeanne M. Palmer, MD, discusses advances made with non-steroid treatments in graft-versus-host disease and how biomarkers such as ST2 and REG-3 alpha might help to inform future treatment decisions.

Patients in New York City with cancer who are then diagnosed with novel coronavirus 2019 (COVID-19) are marked by substantial hospitalization rates and severe outcomes.

Syma Iqbal, MD, discusses the strategies used for the first-line treatment of patients with pancreatic cancer, options for later-line settings, and research efforts being made with targeted therapies.

One of the most important tasks that oncology nurses face is ensuring that patients are taking their medications consistently and correctly, and that adverse events are properly managed—specifically in those patients with breast cancer.