
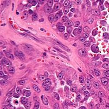
Blood spectroscopy testing could be a faster, more accurate, less-invasive, and more cost-effective method for testing and diagnosing women with the early stages of endometrial cancer.

Your AI-Trained Oncology Knowledge Connection!


Senior Editor, OncLive®
Hayley Virgil heads OncLive's feature article efforts and specializes in social issues and equality in oncology. Prior to joining the company in early 2020, she worked as an editor in numerous industries, including media, marketing, hospitality, and computer science, and freelanced in subjects such as history, culture, and the natural sciences.

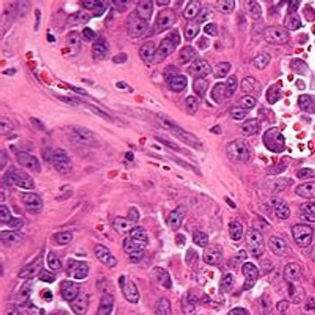
Blood spectroscopy testing could be a faster, more accurate, less-invasive, and more cost-effective method for testing and diagnosing women with the early stages of endometrial cancer.

The FDA has provided regulatory clarity on the design of the pivotal phase 3 trial examining the first-in-class oral, oral, selective antitubulin agent VERU-111 in the treatment of patients with metastatic castration-resistant prostate cancer.

A lower-risk TP53 mutation has been linked with a specific kind of Li Fraumeni Syndrome which predisposes individuals to a wide range of cancers, and this newly described variant of p53 is most commonly found in the Ashkenazi Jewish population.

Although platinum-based chemotherapy given concurrently with a PD-L1 inhibitor has become the standard of care for the frontline treatment of patients with extensive-stage small cell lung cancer, investigators have found that maintenance immunotherapy and combination strategies have fallen short of expectations.

An Emory University-led phase 2 study will evaluate whether the the PI3K-gamma/delta inhibitor duvelisib is effective at reducing lung inflammation in patients with severe novel coronavirus 2019, thereby decreasing incidences of mechanical ventilation and death in these patients.

Following a recent update from the Centers for Disease Control and Prevention, cancer has been added to the list of underlying medical conditions that may result in a more severe case of novel coronavirus 2019 should exposure to the virus occur.

David R. Gandara, MD, discusses the current state of tumor mutational burden in lung cancer, ongoing research further examining the utility of this biomarker, and challenges to address with future research.

A new collaboration between the American Society of Clinical Oncology and the Association of Community Cancer Centers aims to encourage the enrollment of more racially and ethnically diverse patients with cancer onto clinical trials.

Patients with smoldering myeloma whose disease harbors select genetic abnormalities may be an indicator that they could be at a higher risk for developing multiple myeloma.

A triplet regimen comprised of selinexor, daratumumab, and dexamethasone proved to be highly active, inducing deep and durable responses in heavily pretreated patients with relapsed/refractory multiple myeloma.

Mutually exclusive gene combinations were observed between specific subtypes of patients with myelodysplastic syndromes and myeloproliferative neoplasms and most other types of MDS/MPNs that have an impact on patient outcomes.

Single-agent selinexor was found to induce durable responses with a manageable safety profile in patients with relapsed/refractory diffuse large B-cell lymphoma who had received at least 2 prior lines of chemoimmunotherapy.

The FDA has cleared an investigational new drug application for the first-of-its-kind, off-the-shelf CAR T-cell product FT819, which targets CD19-positive malignancies.

William K. Kelly, DO, discusses the early data seen with radium-223 plus niraparib and the next steps for this regimen in castration-resistant prostate cancer.

Treatment with the BTK inhibitor acalabrutinib resulted in decreased inflammation and improve outcomes in patients with severe coronavirus disease 2019.

As part of the 2020 ASCO Direct Highlights™ webcast, Brian Rini, MD, discusses key developments in genitourinary cancers that were presented during the 2020 ASCO Virtual Scientific Program.

A panel of experts in acute lymphoblastic leukemia broach the topic of innovative approaches incorporating novel agents in clinical practice.

Immunotherapy and BRAF plus MEK inhibition are the key players in the treatment of patients with melanoma, Michael Postow, MD, said in a presentation during the 2020 ASCO Direct Highlights webcast.

Only a small percentage of patients with kidney cancer who are considered to be particularly vulnerable to COVID-19 have actually been tested for infection.

Hung Khong, MD, discusses the potential to combine endocrine therapy with immunotherapy in patients with ER-positive breast cancer, and other intriguing therapies poised to improve transform the pipeline.

The safety and efficacy of maintenance olaparib in patients with BRCA1/2-mutated metastatic pancreatic cancer proved to be consistent irrespective of age, according to results of a subgroup analysis from the pivotal phase 3 POLO trial.

Yu Sunakawa, MD, PhD, further discusses the early real-world data from the DELIVER trial with nivolumab in patients with gastric/GEJ cancer and provided insight into what future analyses will examine.

Endometrial cancer tumor types are traditionally categorized through a combination of histologic molecular subtyping and clinical staging; however, the incorporation of new diagnostic algorithms may have clinical implications for treatment.

The oral modified dysfunctional tyrosine SM-88 has demonstrated antitumor activity and appears to broadly effect the immune dynamics of the tumor microenvironment, according to early data from 2 xenograft studies.

R. Wendel Naumann, MD, discusses the early results reported with STRO-002, the hope for this agent in the ovarian cancer space, and the next steps for this research.

Eric Brown, MD, FACS, discusses how breast oncologists and surgeons have adapted to overcome the challenges presented by COVID-19 and continue to deliver the best care to patients as the United States begins to re-open.

John Kuruvilla, MD, FRCPC, discusses the pivotal KEYNOTE-204 findings in Hodgkin lymphoma and the future of checkpoint inhibitors.

A percentage change in longest tumor diameter of patients with localized high-risk soft tissue sarcoma who were treated with neoadjuvant chemotherapy was found to correlate with overall survival.

Acalabrutinib continued to show favorable efficacy with a tolerable safety profile in patients with relapsed/refractory chronic lymphocytic leukemia.

Patients with relapsed chronic lymphocytic leukemia and B-cell lymphoma who received the anti-CD19 CAR T-cell therapy FMC63-28Z experienced highly durable rates of remission, according to long-term data from a phase 1/2 study.