
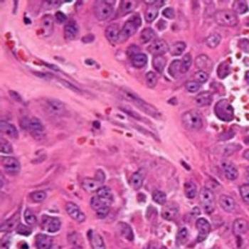
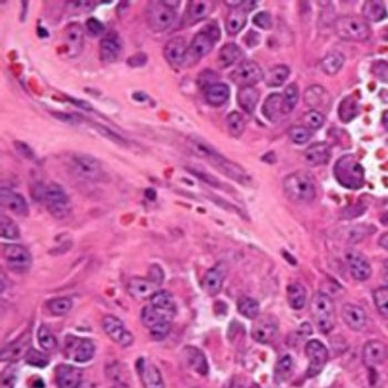
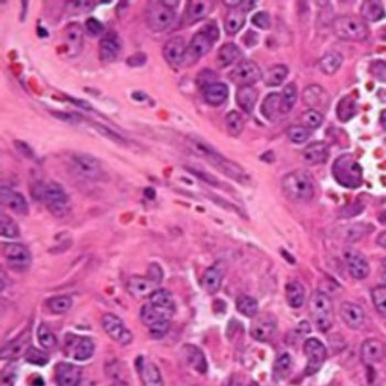
Similarities in clinical characteristics in these patients despite differences in other genomic alterations may impact potential clinical trial treatment selection.

Your AI-Trained Oncology Knowledge Connection!


Similarities in clinical characteristics in these patients despite differences in other genomic alterations may impact potential clinical trial treatment selection.

Patients with renal cell carcinoma and their families may have a lack of understanding about the disease, clinical trials, and psychosocial impact.

Brigatinib resulted in a 52% reduction in the risk of disease progression or death and a 56% reduction in the risk of intracranial progression compared with crizotinib in patients with ALK-positive non–small cell lung cancer, according to final data from the phase 3 ALTA-1L trial.

Mobocertinib displayed a manageable safety profile across 40-mg, 120-mg, and 160-mg dose cohorts in Japanese patients with non–small cell lung cancer, which, when coupled with pharmacokinetic analysis, led to the determination of 160 mg as the maximum tolerated dose and recommended phase 2 dose for further study in this population.

Mobocertinib, a novel EGFR tyrosine kinase inhibitor, exhibited clinically meaningful activity in patients with non–small cell lung cancer who harbor EGFR exon 20 insertion mutations following frontline platinum-based chemotherapy when compared indirectly with real-world data of patients treated with standard of care.

Linagliptin plus atezolizumab was linked with limited responses as a second-line treatment for patients with locally advanced or metastatic gastric or gastroesophageal junction cancer who participated in an arm of the open-label, phase 1b/2 MORPHEUS platform.

Patients with endometrial cancer who had a high tumor mutational burden experienced high responses to single-agent dostarlimab-gxly, irrespective of mismatch repair or microsatellite stability status.

The safety profile of daralutamide in combination with androgen-deprivation therapy was similar to placebo in patients with nonmetastatic castration-resistant prostate cancer.

Treatment with darolutamide was associated with statistically significant benefits in episodic memory by computerized cognitive assessment compared with enzalutamide in patients with metastatic castration-resistant prostate cancer.

The 2021 ESMO Congress, held as a virtual format for the second consecutive year, is fast approaching and isn’t holding back in terms of pivotal data across malignancies, especially in breast cancer and gynecologic cancers.

Brigatinib demonstrated sustained improvements in overall and intracranial progression-free survival and health-related quality of life compared with crizotinib in patients with ALK-positive advanced non–small cell lung cancer.

Plinabulin was found to be a more favorable option for the prevention of chemotherapy-induced neutropenia compared with pegfilgrastim during the coronavirus disease 2019 pandemic.

With more than 4 years of follow-up, the health-related quality of life of men with nonmetastatic castration-resistant prostate cancer receiving androgen deprivation therapy was shown to be maintained with the addition of apalutamide.

Andrew B. Nixon, PhD, MBA, discusses the role of microsatellite instability in cancer.

Petros Grivas, MD, PhD, discusses findings from the subgroup analyses of JAVELIN Bladder 100 in advanced urothelial cancer.

Aditya Bardia, MD, MPH, discusses the need to develop additional therapies for patients with metastatic triple-negative breast cancer.

Erika P. Hamilton, MD, discusses the final overall survival results from the randomized, phase 2 nextMONARCH trial in patients with hormone receptor–positive, HER2-negative metastatic breast cancer.

The addition of nivolumab to chemotherapy resulted in a statistically significant improvement in progression-free survival and elicited higher overall response rates in patients with previously untreated advanced or recurrent gastric and gastroesophageal junction cancer.

Ronan J. Kelly, MD, MBA, discusses the rationale to conduct the phase 3 CheckMate-577 study in esophageal or gastroesophageal junction cancer.

The addition of atezolizumab to a backbone comprised of bevacizumab and chemotherapy failed to significantly improve progression-free survival in patients with newly diagnosed stage III/IV ovarian cancer.

Aditya Bardia, MD, MPH, discusses the results of the randomized phase 3 ASCENT trial in previously treated, metastatic triple-negative breast cancer.

Robert L. Coleman, MD, FACOG, FACS, discusses the clinical implications of the phase 2 innovaTV 204/GOG-3023/ENGOT-cx6 trial in women with previously treated recurrent or metastatic cervical cancer.

Findings from the noncomparative, phase 2, biomarker-driven BIONIKK trial demonstrated clinical evidence to support the use of molecularly-directed frontline therapy as means to enrich responses in patients with metastatic clear cell renal cell carcinoma.

Cemiplimab-rwlc monotherapy led to a significant improvement in overall survival and progression-free survival versus platinum-doublet chemotherapy as first-line therapy in patients with advanced non–small cell lung cancer with PD-L1 expression on at least 50% of their tumor cell.

The feasibility of treatment with trabectedin in combination with durvalumab as treatment of patients with advanced or metastatic pretreated soft tissue sarcoma was demonstrated in the phase 1b TRAMUNE trial.

First-line treatment with the combination of nivolumab and chemotherapy led to a statistically significant survival benefit among previously untreated patients with PD-L1–positive advanced gastric cancer, gastroesophageal junction cancer, and esophageal adenocarcinoma versus chemotherapy alone.

Tisotumab vedotin demonstrated an objective response rate of 24% in patients with recurrent and/or metastatic cervical cancer who were previously treated with doublet chemotherapy and bevacizumab, if eligible.

The addition of durvalumab to tremelimumab showed modest activity in patients with advanced neuroendocrine tumors of gastroenteropancreatic and lung origins.

Pembrolizumab monotherapy prolonged progression-free survival in selected rare sarcoma subtypes, supporting the immune checkpoint inhibitor’s ability to improve outcomes across histotypes.

Treatment with cabozantinib in combination with atezolizumab demonstrated promising clinical activity in patients with advanced clear cell renal cell carcinoma.